Что такое ортопантомограмма?

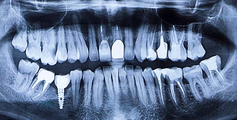
Ортопантомограмма (ОПТГ), или панорамный снимок зубов, — это один из самых востребованных и информативных методов рентгенодиагностики в современной стоматологии. По сути, это детальное двухмерное изображение всей зубочелюстной системы, на котором одновременно видны все зубы верхней и нижней челюсти, височно-нижнечелюстные суставы, гайморовы пазухи и другие структуры лицевого скелета. В отличие от прицельного снимка, который показывает только один-два зуба, ортопантомограмма даёт врачу целостную картину, позволяя увидеть взаимосвязи и скрытые патологические процессы.
Принцип получения снимка достаточно сложен, но для пациента процедура проста и комфортна. Специальный аппарат — ортопантомограф — совершает вращательное движение вокруг головы пациента. Рентгеновская трубка и приёмник (кассета с плёнкой или цифровой датчик) движутся в противоположных направлениях, благодаря чему удаётся получить чёткое изображение изогнутых челюстей на плоском носителе. Современные цифровые ортопантомографы значительно превосходят плёночные аналоги: они дают более высокое разрешение, позволяют мгновенно выводить изображение на экран компьютера, обрабатывать его (увеличивать фрагменты, менять контрастность, проводить измерения) и хранить в электронной базе данных. Доза облучения при цифровой ОПТГ минимальна и безопасна.
Диагностические возможности ортопантомографии поистине обширны. Этот метод является обязательным или крайне желательным на всех этапах стоматологического лечения — от первичной консультации до контроля результатов. Панорамный снимок позволяет оценить:
-
Состояние зубов и пломб. На снимке видны все кариозные полости, в том числе скрытые и расположенные между зубами, качество пломбирования корневых каналов (насколько плотно и до верхушки они заполнены), наличие перфораций и отломков инструментов в каналах.
-
Положение зубов мудрости. ОПТГ незаменима для оценки ретенции и дистопии «восьмёрок». Врач видит направление их роста, форму и количество корней, их близость к нижнечелюстному каналу и гайморовым пазухам, что необходимо для планирования сложного удаления.
-
Состояние костной ткани. Снимок позволяет выявить начальные признаки пародонтита (убыль костной ткани), кисты, гранулёмы, одонтогенные опухоли и другие новообразования, которые могут долгое время развиваться бессимптомно.
-
Состояние височно-нижнечелюстных суставов. Хотя для детальной диагностики суставов чаще требуется КТ, ОПТГ даёт общее представление о симметричности суставных головок и ширине суставной щели.
-
Состояние гайморовых пазух. Врач может увидеть утолщение слизистой, наличие кист или полипов, а также попадание инородных тел (например, корней зубов) в пазуху.
-
Эффективность лечения. Контрольные снимки необходимы после эндодонтического лечения, перед протезированием и имплантацией, а также в процессе ортодонтической коррекции.
Показания к проведению ортопантомографии многочисленны и охватывают практически все разделы стоматологии:
-
Первичное комплексное обследование. Позволяет оценить общее состояние полости рта и выявить проблемы, о которых пациент может даже не подозревать.
-
Планирование имплантации. Снимок необходим для оценки высоты и плотности костной ткани, определения расстояния до жизненно важных анатомических структур (нижнечелюстного нерва, гайморовых пазух) и выбора оптимального типоразмера имплантата.
-
Ортодонтическое лечение. Перед установкой брекетов или изготовлением элайнеров ОПТГ позволяет оценить состояние корней (они не должны быть слишком короткими или искривлёнными), наличие сверхкомплектных зубов и общее планирование перемещения зубов.
-
Хирургическая стоматология. Планирование удаления сложных зубов, кистэктомии, синус-лифтинга и других операций.
-
Детская стоматология. Оценка состояния зачатков постоянных зубов, диагностика адентии и ретенции, контроль прорезывания.
-
Пародонтология. Определение степени атрофии костной ткани при пародонтите, планирование лоскутных операций.
Подготовка к исследованию минимальна. Пациенту необходимо снять все металлические предметы в области головы и шеи (украшения, очки, съёмные зубные протезы с металлом, слуховые аппараты). Женщинам следует обязательно сообщить врачу о возможной беременности, хотя современные аппараты с низкой лучевой нагрузкой часто позволяют проводить исследование и в этот период (кроме первого триместра) при наличии строгих показаний. Сама процедура занимает не более 20–30 секунд и абсолютно безболезненна.
Таким образом, ортопантомограмма является золотым стандартом первичной рентгенодиагностики в стоматологии. Это быстрый, доступный, информативный и безопасный метод, без которого сегодня невозможно представить качественное планирование лечения. Панорамный снимок позволяет врачу увидеть то, что скрыто от невооружённого глаза, принять взвешенное решение и избежать многих осложнений.
Чтобы понять, нужна ли вам ОПТГ и как правильно интерпретировать её результаты, достаточно обратиться к стоматологу для очной консультации, в ходе которой вы сможете узнать больше о диагностических возможностях этого исследования и его роли в вашем индивидуальном плане лечения.
